Program
Faculty
Register
Select Page
edentulous_case_quartet
Search for:
Recent Posts
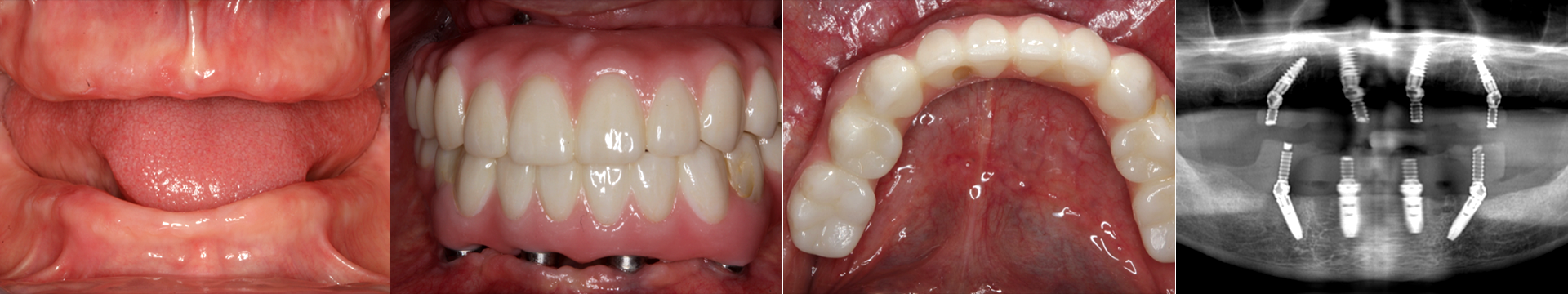
Muco-integration of dental implants for long-term tissue health and stability
Recent Comments
Archives
April 2017
Categories
Uncategorized
Meta
Log in
Entries feed
Comments feed
WordPress.org
Recent Comments