Overview
Faculty
TESTIMONIALS
Location
CONTACT
Register
Select Page
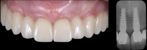
new_full_arch_case3_4_2025
Search for:
Recent Posts
Muco-integration of dental implants for long-term tissue health and stability
Recent Comments
Archives
April 2017
Categories
Uncategorized
Meta
Log in
Entries feed
Comments feed
WordPress.org
Recent Comments