4-Day Advanced Implant Therapy & Grafting Course

with Dr. Sascha A. Jovanovic

Next Available Date: Oct 26 – 29, 2021

in Los Angeles, California

OVERVIEW

Take your surgical skills to the next level for managing complex implant cases in this 4-day comprehensive course in Los Angeles.  Each day has a didactic presentation using lecture & video material & a clinical hands-on or live surgery demonstration.

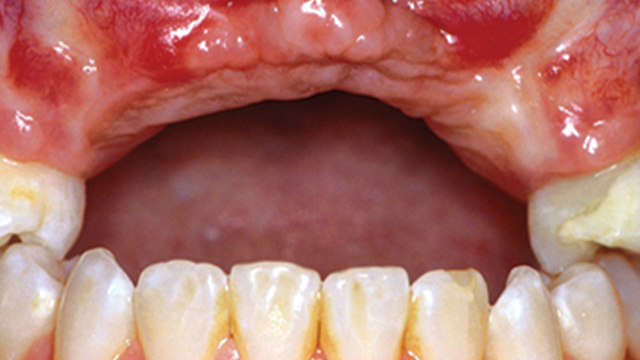
DAYS 1 & 2

BONE, RIDGE & SOCKET GRAFTING

Day 1 consists of a full day of Lecture. 

LEARNING OBJECTIVES

  • Treatment planning and patient selection for grafting procedures
  • Concepts and techniques in bone grafting from incision to suturing
  • Extraction site management: immediate versus delayed implant placement with bone & soft tissue grafting
  • The vertical and horizontal aspects of ridge augmentation
  • The optimal selection of implant design, surface and position
  • Treatment planning for esthetic cases and the development of gingival papilla support
  • New technology using growth factors
  • Implant complications, possibility of treatment and prognosis
  •  

Day 2 consists of 1/2 Day Live Surgery (morning) and 1/2 Day Hands-On Workshop on porcine mandible models (afternoon)

LEARNING OBJECTIVES

  • Clinical solutions to biological bone regeneration and socket grafting
  • Potential intra-oral donor sites, as well as techniques for harvesting such sites
  • Decision making based on outcome of available soft tissue protocols
  • Immediate extraction site techniques with internal grafting for maximum tissue preservation
  • Prosthetic steps to assist in grafting and implant procedures for the clinician
  • Learn the use of biomaterials and growth factors with autogenous bone and barrier membranes
  •  

DAY 3

SOFT TISSUE MANAGEMENT & GRAFTING

Day 3 consists of 1/2 Day Interactive Lecture and 1/2 Day Hands-On workshop on fresh upper porcine models.

LEARNING OBJECTIVES

 

  • Identify advantages and disadvantages of various surgical approaches
  • Flap Design, Flap Management and Suturing Methods
  • Augmentation of Keratinized Tissue
  • Augmentation of Soft Tissue Volume
  • Complications and Compromised Attempts
  • Abutment Design Modifications
  • Perio-Implant Papilla Support
  •  

DAY 4

SINUS ELEVATION & GRAFTING

Day 4 consists of 1/2 Day Interactive Lecture and 1/2 Day Hands-On Workshop on goat maxilla models.

LEARNING OBJECTIVES

  • Learn to perform sinus elevation surgery predictably
  • Identify the clinical and practical benefits of minimally invasive osteotome sinus elevation
  • Learn the technique for performing highly predictable lateral window surgery
  • Identify a biological protocol using graft materials for sinus elevation
  • Learn how to prevent and treat complications
  • Peri-implantitis incidence, etiology and management

TESTIMONIALS

DR. SASCHA JOVANOVIC

LOS ANGELES, CA | PERIODONTIST & IMPLANT SURGEON

Dr. Sascha A. Jovanovic is considered one of the founders of guided bone regeneration (GBR). He was formally trained in periodontics at UCLA School of Dentistry, in Implant Dentistry at Loma Linda University and in Prosthodontics at University of Aachen, Germany and holds a Master of Sciences degree in Oral Biology from UCLA.

He restricts his clinical work to dental implant therapy and bone & soft tissue reconstruction and is Founder and Academic Chairman of the gIDE Institute and Assistant Professor at Loma Linda University.

He is an honorary member of the South African Society of Periodontology, was the program chair of the EAO 2000 scientific congress, as well an award recipient from the American Academy of Periodontology, the California Society of Periodontists, and the German Implant Society (DGI).

Dr. Jovanovic’s clinical research emphasizes esthetic management in dental implant therapy and bone and soft tissue reconstruction techniques. His applied research focuses on bone regeneration with different bone graft materials, growth factors and barrier membranes as well as the biology of soft tissues around teeth and implants.

He lectures extensively worldwide and has published over 65 articles and book chapters, and one textbook titled Color Atlas of Implantology (Thieme Publ.) which is translated in 8 languages. He is the Editor-in-Chief of the gIDE academic curriculum, is on several editorial boards for scientific journals and presents and teaches his implant protocols globally.

He is Founder and Academic Chairman of gIDE Institute, Associate Professor of Loma Linda University, Past-President of the European Association of Osseointegration (EAO) and Past-co-chairman of the UCLA dental implant center.

REGISTER

4-Day Advanced Implant Therapy & Grafting Course

with Dr. Sascha Jovanovic | Course Fee: $4400 (members: $4180) | 32 CE Credits

COVID-19 DISCLAIMER

With respect to the safety of participants, faculty and staff attending and supporting the classroom sessions, all appropriate measures will be taken to ensure gIDE is cooperating with the regulations of the local government, official health departments and the meeting venues. This will include considerations to class size, appropriate spacing between seats, the wearing of masks by faculty, staff and participants, and any other measures that ensure necessary precautions. These steps will, of course, extend to lunches and coffee breaks. Face masks and sterilizers will be available and each morning temperature will be taken on each person entering the building.  

COURSE INFORMATION

Cancellation fee is $500 up to forty-five (45) days prior to each program. After that date, there will be no refunds. As a courtesy, registrants can make a one-time date change within a 12 month period, space permitting. Registrations received during cyber-monday sales are non-refundable. gIDE may cancel scheduled courses up to thirty (30) days prior to the scheduled start of the course if certain attendance minimums are not met. gIDE is not responsible for reimbursing prepaid (including non-refundable) customer travel costs. It is recommended that customers who elect to incur travel costs for a training course, schedule and purchase airfare and hotel accommodations with this in mind.

Register for one or more of the individual courses

COURSE LOCATION – LOS ANGELES

gIDE Institute
12217 W. Pico Blvd., Los Angeles, CA 90064
8:30 am to 5:30 pm

gIDE Institute

CONTACT US